Компьютерная томография (КТ) — современный метод диагностики, предоставляющий детализированные изображения внутренних органов и тканей. В статье рассмотрим, какие органы и системы можно обследовать с помощью КТ, а также рекомендации по подготовке к процедуре. Эти аспекты помогут лучше понять процесс обследования и ожидаемые результаты, что улучшит взаимодействие с медицинскими специалистами.
Основные направления применения компьютерной томографии
Компьютерная томография (КТ) является высокоэффективным методом диагностики, который позволяет получать послойные изображения различных анатомических структур человеческого организма. Этот метод основан на применении рентгеновского излучения и компьютерной обработки информации, что дает возможность врачам-рентгенологам тщательно анализировать состояние тканей и органов пациента. Согласно последним исследованиям 2024 года, КТ продолжает оставаться одним из самых популярных диагностических методов благодаря своей высокой точности и скорости получения результатов.
Артём Викторович Озеров, специалист с двенадцатилетним стажем, подчеркивает важность правильного выбора области сканирования: «Пациенты часто не понимают, какие показания нужны для КТ различных частей тела. Например, если есть подозрение на заболевания головного мозга, совершенно нецелесообразно проводить КТ органов брюшной полости».
- Головной мозг и череп — наиболее распространенные области для КТ-исследования
- Грудная клетка включает легкие, сердце и средостение
- Брюшная полость охватывает печень, почки и поджелудочную железу
- Малый таз позволяет оценить состояние органов репродуктивной системы
- Костно-мышечная система включает позвоночник, суставы и кости конечностей
Эксперты отмечают, что современные томографы способны проводить исследования практически любой анатомической области. Евгений Игоревич Жуков добавляет: «Новые модели томографов позволяют комбинировать несколько зон сканирования за один сеанс, что особенно актуально при комплексных травмах или множественных заболеваниях».
| Область исследования | Частота назначения (%) | Основные показания |
|---|---|---|
| Головной мозг | 35% | Черепно-мозговые травмы, инсульты |
| Грудная клетка | 25% | Пневмония, новообразования |
| Брюшная полость | 20% | Патологии печени, почек |
| Позвоночник | 15% | Грыжи, компрессионные переломы |
| Малый таз | 5% | Заболевания репродуктивной системы |
Компьютерная томография (КТ) является одним из наиболее информативных методов диагностики, позволяющим получить детализированные изображения внутренних органов и тканей. Эксперты отмечают, что КТ часто используется для обследования головного мозга, легких, печени, почек и костей. Этот метод позволяет выявлять опухоли, воспалительные процессы, травмы и другие патологии на ранних стадиях.
Кроме того, КТ может быть полезна в онкологии для мониторинга состояния пациентов и оценки эффективности лечения. Специалисты подчеркивают, что, несмотря на высокую информативность, КТ следует применять с осторожностью из-за облучения. Поэтому важно учитывать показания и противопоказания, а также проводить исследование только по назначению врача.

Особенности КТ-диагностики различных органов
При изучении головного мозга компьютерная томография оказывается особенно полезной для диагностики острых состояний, таких как инсульты, кровоизлияния и травмы. Этот метод позволяет быстро установить наличие гематом, отека мозговой ткани и смещения срединных структур. Для повышения четкости изображения сосудистых структур часто применяется контрастное усиление, что способствует выявлению аневризм, мальформаций и других сосудистых заболеваний.
В процессе сканирования органов грудной клетки КТ демонстрирует высокую чувствительность при диагностике интерстициальных заболеваний легких, пневмоний и новообразований различных локализаций. Этот метод особенно важен при подозрении на онкологические процессы, когда необходимо точно оценить распространенность заболевания. Современные многослойные томографы способны создавать трехмерные изображения легочной ткани с разрешением до 0,6 мм.
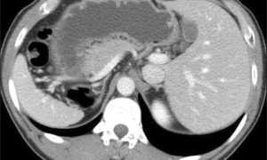
Исследование брюшной полости и забрюшинного пространства требует тщательной подготовки пациента. Наличие пищевых остатков и газов может значительно исказить результаты. Поэтому рекомендуется проводить КТ натощак, иногда с предварительным приемом спазмолитиков. Особое внимание уделяется оценке состояния паренхиматозных органов, таких как печень, почки и поджелудочная железа. Этот метод позволяет обнаруживать очаговые изменения размером от 2-3 мм, что крайне важно для ранней диагностики онкологических заболеваний.
| Область тела | Что обследуют | Показания к КТ |
|---|---|---|
| Голова | Головной мозг, кости черепа, придаточные пазухи носа, глазницы, внутреннее ухо | Инсульты, опухоли, травмы, синуситы, аневризмы, гидроцефалия, воспалительные процессы |
| Шея | Щитовидная железа, лимфатические узлы, гортань, глотка, сосуды шеи, шейный отдел позвоночника | Опухоли, кисты, воспаления, увеличение лимфоузлов, травмы, остеохондроз, грыжи дисков |
| Грудная клетка | Легкие, бронхи, сердце, крупные сосуды (аорта, легочная артерия), пищевод, грудной отдел позвоночника, ребра | Пневмония, туберкулез, опухоли легких, тромбоэмболия легочной артерии, аневризма аорты, травмы, метастазы |
| Брюшная полость | Печень, желчный пузырь, поджелудочная железа, селезенка, почки, надпочечники, кишечник, крупные сосуды | Опухоли, кисты, камни, воспалительные процессы (панкреатит, холецистит), травмы, кровотечения, аппендицит |
| Малый таз | Мочевой пузырь, матка, яичники, предстательная железа, прямая кишка, кости таза | Опухоли, кисты, воспаления, камни в мочевом пузыре, эндометриоз, аденома простаты, травмы |
| Позвоночник | Шейный, грудной, поясничный, крестцовый отделы позвоночника, спинной мозг | Грыжи дисков, остеохондроз, сколиоз, травмы, опухоли, метастазы, стеноз позвоночного канала |
| Суставы и кости | Любые суставы (коленный, тазобедренный, плечевой и т.д.), кости конечностей | Переломы, вывихи, артриты, артрозы, опухоли костей, остеомиелит, остеопороз |
| Сосуды (КТ-ангиография) | Артерии и вены различных областей тела | Аневризмы, стенозы, тромбозы, мальформации, оценка кровотока, планирование операций |
Интересные факты
Вот несколько интересных фактов о том, что обследуют на компьютерной томографии (КТ):
-
Многослойное изображение: КТ использует рентгеновские лучи для создания многослойных изображений внутренних органов и тканей. Это позволяет врачам получать детализированные срезы, которые помогают в диагностике заболеваний, таких как опухоли, травмы или воспалительные процессы.
-
Обследование различных органов: КТ может использоваться для обследования практически всех органов тела. Например, КТ грудной клетки помогает выявить заболевания легких, такие как пневмония или рак, а КТ живота может обнаружить проблемы с печенью, почками или поджелудочной железой.
-
Контрастные вещества: Для улучшения качества изображений часто применяются контрастные вещества, которые вводятся в организм пациента. Это позволяет лучше визуализировать кровеносные сосуды и определенные органы, что значительно повышает точность диагностики.
Эти факты подчеркивают важность и универсальность компьютерной томографии в современной медицине.

Подготовка к КТ-исследованию и факторы, влияющие на качество диагностики
Правильная подготовка к компьютерной томографии является важным аспектом для получения точных результатов. В первую очередь, следует учитывать особенности исследуемой области и возможное применение контрастного вещества. Светлана Павловна Данилова, специалист с десятилетним стажем, отмечает: «Качество подготовки пациента напрямую сказывается на информативности исследования. Например, неверная подготовка к КТ органов брюшной полости может потребовать повторного сканирования».
Каждый вид исследования требует специфической подготовки. При КТ головного мозга пациентам рекомендуется воздерживаться от алкоголя за сутки до процедуры и избегать физических нагрузок. Если необходимо использовать контрастное вещество, следует соблюдать шестичасовое голодание. Важно помнить, что наличие металлических имплантов или протезов может значительно повлиять на результаты исследования, поэтому об этом нужно сообщить врачу заранее.
Ирина Александровна Павлова подчеркивает важность подготовки к КТ органов грудной клетки: «Пациента необходимо обучить правильной технике задержки дыхания, так как любое движение во время сканирования может привести к размытости изображения». Также рекомендуется воздержаться от курения за 6 часов до исследования, чтобы уменьшить количество мокроты в дыхательных путях.
- За 48 часов исключить продукты, способствующие газообразованию
- Принять активированный уголь или эспумизан
- Соблюдать диету с ограничением жирной пищи
- При необходимости провести очистительную клизму
- Проконсультироваться с врачом о принимаемых медикаментах
Факторы, влияющие на качество КТ-диагностики:
| Фактор | Влияние на результат | Рекомендации |
|---|---|---|
| Движение пациента | Размытие изображения | Обучение правильной фиксации |
| Лишний вес | Снижение качества визуализации | Использование специальных протоколов |
| Наличие металла | Искажение изображения | Предупреждение врача заранее |
| Контрастное вещество | Улучшение визуализации | Проверка на аллергию |
| Подготовка пациента | Информативность исследования | Строгий протокол подготовки |
Особенности проведения КТ с контрастированием
Применение контрастных веществ значительно увеличивает диагностические возможности компьютерной томографии. Современные препараты на основе йода позволяют получить подробную информацию о состоянии сосудов и мягких тканей. Однако их использование требует тщательной подготовки и учета противопоказаний. Важно обращать внимание на функциональное состояние почек пациента, так как именно они отвечают за выведение контрастного вещества из организма.
Во время проведения КТ-ангиографии контраст вводится внутривенно с помощью инъектора, что обеспечивает равномерное распределение препарата по сосудистой системе. Крайне важно правильно рассчитать скорость введения и объем контраста, что зависит от массы тела пациента и области исследования. Современные томографы оборудованы специальными программами, которые автоматически синхронизируют момент сканирования с достижением максимальной концентрации контраста в исследуемой зоне.

Часто задаваемые вопросы о КТ-диагностике
Давайте рассмотрим наиболее часто задаваемые вопросы пациентов о компьютерной томографии и её особенностях. Первый и наиболее распространённый вопрос касается безопасности процедуры и уровня облучения. Исследования 2024 года показывают, что современные многослойные томографы способны значительно снизить лучевую нагрузку, не ухудшая качество получаемых изображений. Однако количество исследований должно определяться только медицинскими показаниями.
- Как часто можно проводить КТ? Частота проведения зависит от исследуемой области и конкретной клинической ситуации. Для обследования головного мозга допустимо до 2-3 процедур в год, для других областей — не более 1-2 раз.
- Можно ли есть перед КТ? При исследовании органов брюшной полости рекомендуется воздержаться от пищи за 4-6 часов. Для КТ головного мозга без контрастирования специальная диета не требуется.
- Что выбрать — КТ или МРТ? Выбор метода зависит от поставленной задачи. КТ более предпочтительна для исследования костных структур, тогда как МРТ лучше подходит для оценки мягких тканей и нервной системы.
- Сколько времени занимает КТ? Продолжительность процедуры варьируется от 5 до 30 минут в зависимости от области сканирования и необходимости использования контраста.
- Какие существуют противопоказания? Основные ограничения связаны с беременностью, почечной недостаточностью и аллергией на контрастные вещества.
Проблемные ситуации при проведении КТ
Сложные ситуации возникают, когда стандартные протоколы исследований невозможно реализовать. Например, в случаях клаустрофобии пациентам советуют принимать успокаивающие средства или использовать открытые томографы. У детей часто применяется седация во время процедуры, что требует дополнительной подготовки и контроля со стороны анестезиолога.
Артём Викторович Озеров делится своим опытом в решении таких проблем: «При работе с пациентами, у которых есть металлические импланты, мы применяем специальные алгоритмы для реконструкции изображений, что позволяет свести к минимуму артефакты». Это особенно актуально при обследовании позвоночника после хирургических вмешательств или установки металлических конструкций.
Заключение и рекомендации
Компьютерная томография продолжает оставаться одним из самых эффективных методов диагностики множества заболеваний. Этот метод позволяет получить подробную информацию о состоянии практически всех органов и систем организма, а результаты исследования становятся доступны всего через несколько минут после его завершения. Важно отметить, что успешность КТ-диагностики во многом зависит от правильной подготовки пациента и строгого соблюдения протоколов исследования.
Для достижения максимально точных результатов рекомендуется:
- Тщательно следовать указаниям врача по подготовке
- Информировать медицинский персонал о наличии хронических заболеваний
- Сообщать о всех принимаемых лекарствах
- Соблюдать правила поведения во время процедуры сканирования
- Придерживаться рекомендованной частоты обследований
Если у вас возникли дополнительные вопросы или требуется более подробная консультация по конкретному случаю, не стесняйтесь обратиться к специалистам — врачам-рентгенологам или диагностам. Они помогут определить наилучший подход к исследованию и правильно интерпретировать полученные результаты с учетом ваших индивидуальных особенностей здоровья.
Современные технологии и инновации в КТ-диагностике
Современные технологии и инновации в области компьютерной томографии (КТ) значительно расширили возможности диагностики и улучшили качество медицинских услуг. КТ-диагностика, основанная на использовании рентгеновских лучей и сложных алгоритмов обработки изображений, позволяет получать детализированные срезы внутренних органов и тканей, что делает её незаменимым инструментом в современной медицине.
Одним из ключевых достижений в КТ является внедрение многосрезовых томографов, которые способны одновременно получать изображения с нескольких срезов. Это значительно ускоряет процесс обследования и повышает его точность. Многосрезовые КТ-сканеры обеспечивают более высокую разрешающую способность, что позволяет выявлять даже самые мелкие патологии, такие как опухоли или воспалительные процессы.
Кроме того, современные КТ-аппараты оснащены инновационными системами управления дозой облучения, что позволяет минимизировать радиационную нагрузку на пациента. Технологии адаптивной модуляции дозы (ADM) и автоматического контроля качества изображения (AI) помогают оптимизировать параметры сканирования в зависимости от индивидуальных характеристик пациента, таких как возраст, вес и состояние здоровья.
В последние годы активно развиваются методы постобработки изображений, такие как 3D-реконструкция и виртуальная эндоскопия. Эти технологии позволяют врачам не только визуализировать анатомические структуры, но и проводить симуляции хирургических вмешательств, что значительно улучшает планирование операций и повышает их безопасность.
Также стоит отметить внедрение искусственного интеллекта (ИИ) в КТ-диагностику. Алгоритмы машинного обучения способны анализировать большие объемы данных и выявлять патологии с высокой точностью. Это не только ускоряет процесс диагностики, но и снижает вероятность человеческой ошибки, что особенно важно в критических ситуациях.
Современные КТ-аппараты также предлагают возможность контрастного усиления, что позволяет более четко визуализировать сосудистую систему и выявлять аномалии, такие как аневризмы или тромбы. Использование контрастных веществ, таких как йодсодержащие препараты, помогает улучшить качество изображений и повысить диагностическую ценность исследования.
Таким образом, современные технологии и инновации в КТ-диагностике открывают новые горизонты для врачей и пациентов, позволяя более точно и быстро диагностировать заболевания, что в свою очередь способствует более эффективному лечению и улучшению качества жизни пациентов.
Вопрос-ответ
КТ всего организма что показывает?
Компьютерная томография всего тела — комплексный метод диагностики всего организма, проводимый с помощью рентгеновского излучения. Визуализирует мягкие и твердые ткани, все внутренние органы, лимфатическую систему и кровеносные сосуды.
Что не видно на КТ?
Компьютерная томография (КТ) лучше всего воспринимает костные структуры. Поэтому КТ хорошо использовать для определения костных травм и различных повреждений. На МРТ хорошо видны мягкие ткани: мышцы, сосуды, хрящи, спинной и головной мозг.
Что такое МРТ и КТ и в чем разница?
В случае КТ — это рентгеновское излучение, которое дает представление о физическом состоянии вещества, а при МРТ — постоянные и пульсирующие магнитные поля, а также радиочастотное излучение, дающее информацию о распределении протонов (атомов водорода), т. е. о химическом строении тканей.
Что хорошо видно на КТ?
КТ хорошо показывает травмы, переломы, свежие кровоизлияния, патологии брюшной полости и грудной клетки.
Советы
СОВЕТ №1
Перед прохождением КТ обязательно проконсультируйтесь с врачом. Он поможет определить, какие именно области вашего тела необходимо обследовать, и объяснит, какие результаты можно ожидать.
СОВЕТ №2
Убедитесь, что у вас нет противопоказаний к проведению КТ, таких как беременность или аллергия на контрастные вещества. Если у вас есть сомнения, обсудите их с медицинским специалистом.
СОВЕТ №3
Перед процедурой постарайтесь расслабиться и не нервничать. Стресс может повлиять на качество изображения, поэтому старайтесь оставаться спокойными и следовать указаниям медицинского персонала.
СОВЕТ №4
После обследования не забудьте обсудить результаты с врачом. Он поможет вам понять, что означают полученные данные и какие дальнейшие действия могут потребоваться.
Современные технологии и инновации в области компьютерной томографии (КТ) значительно расширили возможности диагностики и улучшили качество медицинских услуг. КТ-диагностика, основанная на использовании рентгеновских лучей и сложных алгоритмов обработки изображений, позволяет получать детализированные срезы внутренних органов и тканей, что делает её незаменимым инструментом в современной медицине.
Одним из ключевых достижений в КТ является внедрение многосрезовых томографов, которые способны одновременно получать изображения с нескольких срезов. Это значительно ускоряет процесс обследования и повышает его точность. Многосрезовые КТ-сканеры обеспечивают более высокую разрешающую способность, что позволяет выявлять даже самые мелкие патологии, такие как опухоли или воспалительные процессы.
Кроме того, современные КТ-аппараты оснащены инновационными системами управления дозой облучения, что позволяет минимизировать радиационную нагрузку на пациента. Технологии адаптивной модуляции дозы (ADM) и автоматического контроля качества изображения (AI) помогают оптимизировать параметры сканирования в зависимости от индивидуальных характеристик пациента, таких как возраст, вес и состояние здоровья.
В последние годы активно развиваются методы постобработки изображений, такие как 3D-реконструкция и виртуальная эндоскопия. Эти технологии позволяют врачам не только визуализировать анатомические структуры, но и проводить симуляции хирургических вмешательств, что значительно улучшает планирование операций и повышает их безопасность.
Также стоит отметить внедрение искусственного интеллекта (ИИ) в КТ-диагностику. Алгоритмы машинного обучения способны анализировать большие объемы данных и выявлять патологии с высокой точностью. Это не только ускоряет процесс диагностики, но и снижает вероятность человеческой ошибки, что особенно важно в критических ситуациях.
Современные КТ-аппараты также предлагают возможность контрастного усиления, что позволяет более четко визуализировать сосудистую систему и выявлять аномалии, такие как аневризмы или тромбы. Использование контрастных веществ, таких как йодсодержащие препараты, помогает улучшить качество изображений и повысить диагностическую ценность исследования.
Таким образом, современные технологии и инновации в КТ-диагностике открывают новые горизонты для врачей и пациентов, позволяя более точно и быстро диагностировать заболевания, что в свою очередь способствует более эффективному лечению и улучшению качества жизни пациентов.